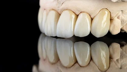
なぜ、「脱・銀歯」 が
必要なのでしょうか?
これまで当たり前だった「銀歯」という選択肢。しかし、
銀歯は虫歯が再発しやすく、
将来抜歯になるリスクが高いことをご存知ですか?
たしかに保険診療適用の銀歯は、一時的には安価に治療が完了しますが、一生自分の歯で噛みたいとお考えの方にはベストな選択とはいえません。














